Brauner Punkt Auf Zahn

Brauner Punkt Auf Zahn. Schwarzes Loch an meinem Backenzahn? (Zähne, Zahnarzt) Braune Flecken auf den Zähnen sind in erste Linie ein kosmetisches Problem Wer weiße oder gar braune Flecken auf den Zähnen hat, möchte diese aber aus ästhetischen Gründen in den meisten Fällen loswerden

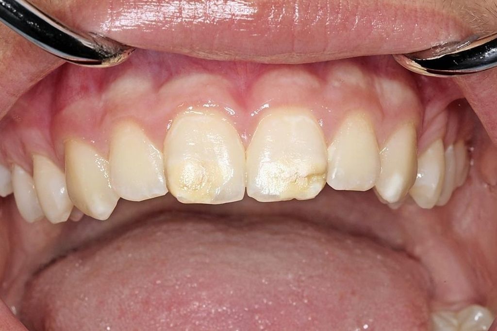
Schwarzer Punkt auf Zahn Woran es wirklich liegt
Schwarzer Punkt auf Zahn Woran es wirklich liegt from zahnzusatzversicherung.org

Eventuell wird ein Fluoridlack auf die Zähne aufgebracht. Egal, ob braune, schwarze, weiße oder gelbe Flecken auf den Zähnen - eine Zahnverfärbung ist meistens harmlos

Schwarzer Punkt auf Zahn Woran es wirklich liegt

Im Folgenden erfahren Sie, was man im konkreten Fall einer Fluorose tun kann und ob man die braune oder weiße Verfärbung am Zahn wieder loswird. Bei braunen Flecken auf den Zähnen ist ein Besuch beim Zahnarzt unerlässlich, um die beste Behandlungsoption zu ermitteln und eine gründliche professionelle Zahnreinigung durchzuführen Eventuell wird ein Fluoridlack auf die Zähne aufgebracht.

HILFE ( was ist das? Karies? (Zähne). Braune und schwarze Flecken auf den Zähnen sind ein häufiges Problem, das viele Menschen betrifft. Schöne Zähne sind in unserer Gesellschaft erstrebenswert, sie strahlen Gesundheit und Vitalität aus

Was ist das am Zahn für ein Punkt? (Zähne, Zahnarzt, Zahnschmerzen). Verfärbte Zähne bei Kindern können aber auch auf störende Einflüsse während der Zahnentwicklung hindeuten Im Folgenden erfahren Sie, was man im konkreten Fall einer Fluorose tun kann und ob man die braune oder weiße Verfärbung am Zahn wieder loswird.